Leistungsspektrum
Hier finden Sie weitere Informationen zu unserem Behandlungsspektrum:
Erkrankungen:
In Löningen haben wir uns auf die neurochirurgische Behandlung von Wirbelsäulenerkrankungen spezialisiert. In 1. Linie handelt es sich dabei um degenerative, also verschleißbedingte, Erkrankungen an der gesamten Wirbelsäule. Unser Hauptaugenmerk liegt auf der chirurgischen Behandlung von Bandscheibenvorfällen, Instabilitäten oder auch der Erweiterung einer Einengung des Spinalkanals (Spinalstenose).
Verletzungen der Wirbelsäule können ebenfalls umfassend versorgt werden. Nicht selten werden wir auch bei der Behandlung von Tumoren oder Entzündungen an der Wirbelsäule chirurgisch aktiv. Eine Sonderform entzündlicher Erkrankungen stellt die primär chronische Polyarthritis dar (Rheuma), auch hier können wir unseren Patienten stabilisierende Verfahren anbieten. Nicht zuletzt kümmern wir uns auch um einige Erkrankungen der Wirbelsäule die anlagebedingt auftreten, z.B. das angeborene Wirbelgleiten. Beratungen bei komplexen Fehlbildungen werden vorgenommen und wir kennen die richtigen Ärzte für schwierige Fragestellungen.
Im Wesentlichen werden aber die unten aufgeführten Behandlungen hier in Löningen vorgenommen und damit können wir, mit Ausnahme komplexer Fehlbildungen, den Großteil der an uns herangetragenen Probleme und Erkrankungen der Wirbelsäule lösen.
Operationsverfahren:
Spinale Endoskopie:
Seit einigen Jahren etabliert sich mehr und mehr im klinischen Alltag die Anwendung von Endoskopen an der Wirbelsäule. Hierbei gibt es unterschiedliche Techniken und Instrumente. Grundsätzlich kann das Endoskop über eine Hülse (tubulär gestützt) an die Wirbelsäule herangeführt werden. Auch sind endoskopisch assistierte Verfahren, z. B. bei der Spiegelung der Bauchhöhle oder bedeutender an der Brusthöhle möglich (thorakoskopisch assistiert). Schwerpunkte in der Anna-Klinik stellen dabei sogenannte perkutane endoskopische Verfahren dar, die von allen Techniken als minimalinvasivste Operationsmethode bezeichnet werden kann, da der Zugang durch die Haut über einen einzigen Stich erfolgt und der Begleitschaden an den beteiligten Weichteilen wirklich minimal ist. Darüber hinaus bleiben alle Optionen der Revisionschirurgie erhalten und der Eingriff ist unabhängig von der Körperstatur, d. h. auch beleibte Patienten können mit diesem Verfahren erfolgreich behandelt werden. In erster Linie werden dabei Bandscheibenvorfälle an der Lendenwirbelsäule operativ angegangen. In den letzten Jahren wurden auch zunehmend kritische Bandscheibenvorfälle an der Brustwirbelsäule endoskopisch adressiert. Dabei wurden unsere klinischen Ergebnisse noch 2018 in Hamburg anlässlich der Jahrestagung der Deutschen Gesellschaft für Neurochirurgie – Sektion Wirbelsäule – präsentiert und fanden hohe Beachtung. Darüber hinaus wurden unsere Erfahrungen, Ergebnisse und Studien in einigen renommierten Zeitschriften publiziert oder als Buchbeiträge in einschlägigen Lehrbüchern angenommen.
Die Weiterentwicklung des sogenannten Spine TIP Projektes ist eng auch mit den Aktivitäten hier in Löningen verbunden. So verfügt die Anna -Klinik über eine endoskopisch spezialisierte Operationssuite. Die langjährige Erfahrung auf diesem Gebiet verbunden mit der technischen Entwicklung der Endoskope und Instrumente hat auch zu zahlreichen nationalen und internationalen Kursen geführt, die heute beispielsweise in Kooperation mit dem Universitätsklinikum in Groningen vorgenommen werden und Kollegen weltweit zur Schulung unserer hier entwickelten Techniken nach Löningen führt.
Kräftiger Bandscheibenvorfall zwischen 12. Brustwirbel und 1. Lendenwirbel. Nach Entfernung des Sequesters liegt der Rückenmarkssack frei
Mikrochirurgie:
Auch die Mikrochirurgie wird hier in der Anna-Klinik als Routineeingriff durchgeführt, d. h. in erster Linie erfolgt der Eingriff unter Verwendung eines hochwertigen Operationsmikroskops. Hierbei wird ebenfalls dem minimal invasiven Charakter der Operation folgend, der Eingriff so klein wie möglich gehalten und das Operationsfeld möglichst optimal ausgeleuchtet. Dabei sind auch stufenlose Vergrößerungen des Operationsfeldes in der Tiefe möglich, was detaillierte und subtile Behandlungen der pathologischen Anatomie erlauben. Darüber hinaus werden speziell hierfür geschaffene Instrumente verwendet. Die Mikrochirurgie gilt als Goldstandard in der Behandlung von Bandscheibenvorfällen an der gesamten Wirbelsäule oder auch bei der Beseitigung von Einengungen des Rückenmarkkanales. Hierbei stellt, ergänzend zur spinalen Endoskopie, die Behandlung schwieriger, z. B. verkalkter Bandscheibenvorfälle an der Brustwirbelsäule, eine der Schwerpunkte dar. Auch komplexe operative Eingriffe wie die Entfernung von Wirbelkörpern, beispielsweise bei Tumoren und Frakturen, erfolgt unter Zuhilfenahme des Mikroskops. Auch werden rückenmarksnahe Tumoren in aller Regel unter dem Operationsmikroskop begleitet und entfernt.
Zusammenfassend bleibt festzuhalten, dass der Goldstandard in allen Bereichen der Abteilung für Wirbelsäulenchirurgie gewährleistet ist.

Verletzungen der Wirbelsäule:
Bei der Behandlung von Verletzungen der Wirbelsäule ergeben sich große Herausforderungen in der Diagnostik und der Therapiewahl. Über konservative Behandlungspfade bis hin zu komplexen rekonstruktiven Eingriffen reicht das Spektrum in unserer Abteilung. Dabei kommen bewährte und moderne Operationstechniken, aber auch Implantate zur Anwendung, die eine häufig instabile Situation beheben können. Sämtliche, für eine optimale Therapie erforderliche, Zugangswege an der Hals-, Brust- und Lendenwirbelsäule unter Einbeziehung des Kreuzbeines werden beherrscht. Häufig sind dabei vorderseitige Eingriffe an Brust- und Lendenwirbelsäule Komplexverfahren, die aber unter Ausnutzung der verfügbaren Mikroskope und Endoskope hier optimiert werden können. Dabei steht die individuelle Therapieplanung im Mittelpunkt unserer Überlegungen, um aus der Vielzahl der Behandlungsmöglichkeiten unseren Patienten eine optimierte chirurgische Vorgehensweise zu gewährleisten.
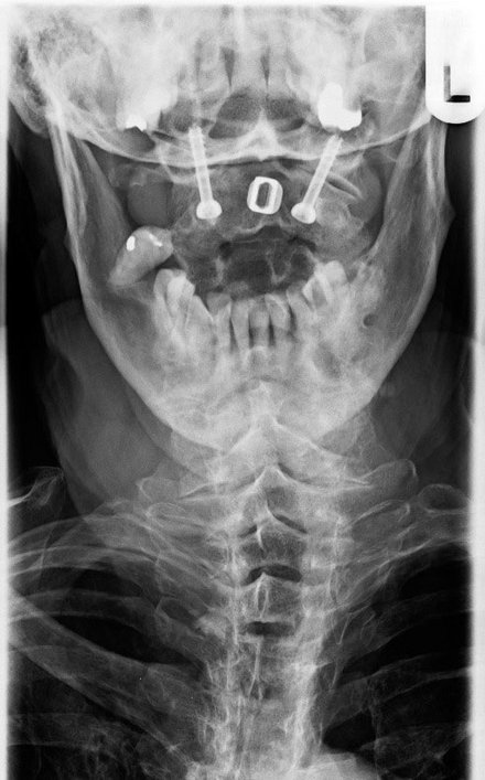
Rheumachirurgie:
Bestimmte Erkrankungen aus dem rheumatischen Formenkreis können zu entzündlichen Veränderungen an den ersten beiden Halswirbeln führen. Hierbei kann es zu einer lebensbedrohlichen Instabilität kommen, die zwingend operativ behandelt werden muss. In unserer Klinik findet eine speziell entwickelte und zu etablierten Verfahren modifizierte OP-Technik Anwendung, die aus hiesiger Sicht die möglichen und schwerwiegenden Komplikationen vergleichbarer OP-Techniken verringert (z. B. Verletzungen der Schlagadern). Hierbei wird von vorne eine Verschraubung der Gelenke HWK-1 und HWK-2 vorgenommen, um dann nach Umlagerung in die sogenannte sitzende Körperposition einen aus dem Beckenkamm gewonnenen Knochenspan zwischen den Dornfortsätzen des 1. und 2. Halswirbels einzufalzen und über eine Cerclagetechnik weiter zu fixieren. Diese Technik hat sich nicht nur in der Rheumachirurgie bewährt, sondern kommt auch bei der Behandlung von schweren Verschleißveränderungen oder auch Missbildungen der oberen Halswirbelsäule zur Anwendung.
Deformitätenchirurgie:
Einer unserer Schwerpunkte ist die Behandlung von angeborenen Gleitzuständen an der Lendenwirbelsäule. Hierbei kommt ein von uns entwickeltes und patentiertes Instrument zur Reposition des abgerutschten Wirbels zum Einsatz. Unsere Ergebnisse wurden 2023 in einer renommierten medizinischen Fachzeitschrift veröffentlicht und eine Übersicht der dort veröffentlichen Fälle sehen Sie unten.















